ד"ר דניאל רפפורטכאבי ראש, כאבי עיניים והשמנה: מה הקשר וכיצד מטפלים?
במצבים רבים כאבי ראש מקרינים לאזור העיניים וכך עשויים לגרום לנו לחשוב שמדובר בכלל בבעיית ראייה. אך הכאב החד אינו קשור לרוב לעיניים והפגיעה בראייה היא לעיתים רק תוצר לוואי. אילו מחלות עיניים מביאות לכאבי ראש, מהן הפגיעות המוחיות שיפגמו בראיה ומה הקשר להשמנת יתר? כל התשובות
התחושה הבאה מוכרת לרובינו, אנחנו מתחילים לחוש בכאב ראש המקרין גם לאזור העיניים וסבורים כי אנו זקוקים שוב לעבור בדיקת ראייה. רבים מהסובלים מכאבים דומים לאלה ממהרים לרופא העיניים, ולעיתים אף מופנים אליו על ידי רופא המשפחה כי סבורים שמדובר בבעיה עינית אך למעשה, מרבית כאבי הראש ואף כאבי העיניים אינם קשורים כלל לעיניים או לראיה והן נובעים לרוב ממיגרנות, ממצבי מתח (TENSION TYPE HEADACHE) או ממחלות מסוימות, (ביניהן גידול, בעיות מטבוליות, יתר לחץ דם ממאיר), המביאות להתפתחות כאב ראש משני.
כאבי ראש אלה עשויים גם להשפיע על אזור העין וסביבתה, אך אין זה אומר שמדובר בבעיית עיניים אלא בכאב שמקרין (REFERRED PAIN) ונובע מכך שהעצב המעביר את התחושה מהפנים ומהעיניים למוח. כאבי ראש המופיעים בבוקר, כאלה המעירים משינה, כאבי ראש המחמירים במאמץ, או אלה המלווים בבחילות ובהקאות לרוב אינם נובעים מסיבה עינית. מהן בעיות העיניים הגורמות לכאבי ראש, באילו מצבים פגיעה מוחית עשויה גם להשפיע על הראייה ומה הקשר להשמנת יתר? מומחה מסביר.
אילו בעיות עיניות עשויות לגרום לכאבי ראש וכאבי עיניים?
אסתנופיה- מתח עיני (EYE STRAIN ASTHENOPIA)
מצב בו מתפתחת תחושת כאב, לחץ או אי נוחות בראש ובעיניים בעקבות מאמץ ניכר שלהן הנובע מבעיה אופטית, לרבות קוצר ראייה, רוחק ראייה , צילינדר (אסטיגמטיזם), פער משמעותי במספר בין העיניים (ברפרקציה) או בעיית מיקוד (פזילה סמויה או גלויה). המתח העיני יחמיר לרוב בזמן עבודה ממושכת הדורשת מיקוד ראייה לטווח קרוב (כמו קריאה או תפירה) או צפייה ממושכת במסכים שונים (טלפונים, טאבלטים, מחשב נייד או נייח). כאבים כאלו הם לרוב פחות חזקים, לא יופיעו בבקרים אלא רק לאחר מאמץ עם העיניים, ולא ילוו בבחילות או הקאות.
כיצד ניתן לאבחן אסתנופיה?
באמצעות בדיקת רופא עיניים שתכלול בדיקת ראייה, בדיקת הרפרקציה (המספר הדיאופטרי בעיניים) והרחבת אישונים ניתן לאבחן מתח עיני ולקבוע טיפול בהתאם.
יובש עיני
יובש בעיניים הוא הגורם השכיח ביותר המביא לפניה לרופא העיניים. הסיבות לבעיה רבות והוא יכול לנבוע מחסר ייצור דמעות או אידוי יתר של הדמעות (מחסור במרכיב השומני בדמעות בעקבות דלקת כרונית של שולי העפעף הנקראת בלפריטיס).
היובש יכול לגרום לתחושת אי נוחות בעין, צריבה, גרד, דמעת יתר, אדמומיות, טשטוש ראייה ולעתים אף תחושת כאב בעיניים (אך לרוב לא יגרום לכאבי ראש ממש). היובש לרוב מחמיר לקראת שעות הערב ולאחר עבודה ממושכת המחייבת מיקוד ראיה לזמן רב.
כיצד ניתן לאבחן יובש עיני?
בדיקת רופא עיניים הכוללת בדיקת המקטע הקדמי של העיניים (עפעפיים, לחמית, קרנית) ,שימוש בצבע פלוארסנטי ועוד תביא לאבחנת היובש. אופציות הטיפול מגוונות בהתאם לגורם שבגללו נגרם היובש בעיניים.
פגיעה בקרנית העין
קרנית העין היא הכיפה השקופה החיצונית המכסה את העין (מעל הקשתית והאישון) והינה מרכיב חשוב במערכת האופטית של העין. בקרנית ישנו ריכוז עצום של עצבי תחושה וכאב וכל פגיעה בה (הנגרמת משריטה, חדירת גוף זר, פצע חודר, דלקת כמו הרפס וגם יובש) תגרום לכאב עז לרוב בעל אופי דוקר או חותך בעין, ותלווה לעתים באודם מקומי וטשטוש בראייה.
דלקת עינית
דלקת לחמיות (חיצונית) תגרום לכאבים בעיניים, צריבה, אודם, הפרשות ,דמעת. במקרה זה הסיבה לכאב בעיניים תהיה מוחשית וברורה.
דלקות פנימיות בעיניים, הנקראות אובאיטיס (UVEITIS) יגרמו גם הן לטשטוש בראייה וכאבי עיניים ובמקרים אלה יתכן גם אודם עיני שלא ילווה בהפרשות. רופא עיניים יכול לאבחן בקלות דלקת מסוג כזה ולהציע טיפול מתאים (במקרים רבים אובאיטיס עשויה להיות קשורה למחלה אוטואימונית ולכן הבירור והטיפול ייעשו בשיתוף עם רופא מומחה מתחום הראומטולוגיה).
קראו עוד: המדריך המלא: מתי דלקת בעיניים מדבקת - ומתי לא?
גלאוקומה (ברקית)
גלאוקומה היא מחלה עינית עם נטייה תורשתית במהלכה מתרחשת פגיעה הולכת ומתמשכת בעצב הראייה המתבטאת בהתדרדרות בשדה הראייה עד כדי עיוורון . גלאוקומה לרוב מתבטאת בלחץ תוך עיני גבוה, שלרוב אינו גורם לכאב כלשהו. במצבים בהם הלחץ גבוה מאוד (לרוב מעל 30 ואף יותר) הוא עשוי לגרום לכאבי עיניים, כאב ראש, טשטוש ראייה בחילות והקאות.
התקף גלאוקומה בזווית סגורה יביא לעליה מהירה מאוד בלחץ התוך עיני וכתוצאה מכך יופיעו תופעות, כמו כאב ראש ועין חדים, בחילות, טשטוש ראייה ואודם עיני. התקף כזה נגרם לרוב בתנאי תאורה בינוניים-חלשים (לפנות ערב, תאורת פנים חלשה וכדומה).
מהן דרכי האבחון והטיפול בגלאוקומה?
גלאוקומה על כל צורותיה, מאובחנת על ידי רופא עיניים שנעזר גם בבדיקות עזר כמו שדה ראייה וצילום OCT של עצב הראייה וכן מדידות חוזרות של הלחץ התוך עיני. הטיפול הוא בהורדת הלחץ התוך עיני על ידי טיפות , לייזר או ניתוח.
דלקת בעצב הראייה (נוירופתיה אופטית)
דלקת בעצב הראייה נגרמת מסיבות רבות, בהן טרשת נפוצה, מחלות דלקתיות אוטואימוניות, זיהומים שונים ועוד. במקרים אלו יהיה כאב עין ומסביבה, המתגבר בהנעת העין וילווה בטשטוש ראייה ותופעות נוספות (הפרעות בשדה הראייה, ראיית אורות ונצנוצים בעין הפגועה, החמרה בעת מאמץ או עלית חום גוף).
כיצד ניתן לאבחן דלקת בעצב הראייה?
דלקת עצב הראייה מאובחנת על ידי רופא עיניים (בייחוד נוירואופתלמולוג) תוך שימשו בבדיקות עזר כמו שדה ראייה, OCT של עצב הראייה, הדמיה מוחית (MRI) והטיפול בשיתוף נוירולוג.

בתמונה: עצב ראייה תקין כפי שנראה על ידי הרופא בהסתכלות בעדשה לתוך העין
מתי יש קשר בין כאב ראש והעיניים?
(TEMPORAL ARTERITIS (Giant cell arteritis
מחלה דלקתית הפוגעת בכלי דם בראש ובגוף, שכיחה באנשים מבוגרים (לרוב מעל גיל 65) ועלולה להביא לתחלואה קשה ואף למוות. המאפיינים הבולטים במחלה זו הם כאב ראש (רקתי), כאב בלעיסה, חולשה, כאבי שרירים ומפרקים, ירידה בתאבון ובמשקל. בנוסף, היא עשויה להביא גם לפגיעה בראייה (פגיעה איסכמית בעצב הראייה, חסימת עורק הרשתית) וכן כפל ראייה (פגיעה בעצבים של שרירי העיניים).
יתר לחץ תוך גולגולתי (INCREASED INTRACRANIAL PRESSURE)
עלית לחץ תוך גולגולתי תגרום לכאבי ראש, בחילות והקאות, טנטון (צפצוף פועם באוזניים) ואף לטשטושי ראייה קצרים וחולפים וכפל ראייה. ישנם גורמים רבים לעלית לחץ זו, ביניהם גידולים , זיהומים ודלקות (דלקת קרום המוח), עודף ייצור או בעיה בספיגת הנוזל המוחי שדרתי (CEREBRO SPINAL FLUID=CSF ).
יתר הלחץ התוך גולגולתי יגרום להרמה ובצקת של ראש עצב הראייה הנכנס לעין. בצקת זו נגרמת כיוון שעצב הראייה הוא המשכי למוח ועטוף בקרומים ובנוזל המוחיים ולכן עליה בלחץ ועודף הנוזל יערבו את עצב הראייה.
קראו עוד: "יש לך משהו עצוב בעיניים": מה העיניים שלך אומרות על בריאותך?
כיצד מאבחנים יתר לחץ תוך גולגלתי?
במקרים בהם יש חשד לעלית לחץ בראש, רופא העיניים יכול לאבחן את הבצקת בעצבי הראייה הנקראת פפילאדמה (PAPILLEDEMA).
בכל מקרה של אבחנת פפילאדמה וחשד לעלית לחץ תוך גולגולתי יש לבצע הדמיה מוחית (באמצעות בדיקת CT או MRI) על מנת לשלול גידול, פקקת וורידי המוח או מחלה מוחית אחרת. בנוסף מבוצע ניקור מותני אשר בו ניתן למדוד את לחץ הפתיחה המשקף את הלחץ התוך גולגולתי (לחץ מעל 25 ס"מ מים במבוגרים נחשב לגבוה ולא תקין, בילדים הערך העליון הוא 28 ס"מ מים). בניקור המותני ניתן גם למדוד את הרכב הנוזל (מספר תאי דם לבנים ואדומים, חלבון וכן הימצאות נוגדנים וגורמים מזהמים שונים) כדי לעזור ולהתקדם באבחנה.
במקרים בהם ישנה עלית לחץ תוך גולגולתי ללא תהליך תופס מקום תוך גולגולתי, והרכב הנוזל הוא תקין מאובחנת תסמונת הנקראת פסאודוטומור צרברי (PSEUDOTUMOR CEREBRI=PTC) הידועה גם בשם נוסף (IDIOPATHIC INTRACRANIAL HYPERTENSION=IIH), ועל כך נפרט בהמשך.

בתמונה: בצקת בעצב הראייה הנגרמת בשל לחץ תוך גולגלתי מוגבר
הקשר בין השמנה , כאבי ראש והעיניים
רבות ידוע על סיבוכי השמנת יתר ובהם מחלות לב, סוכרת, בעיות מטבוליות ועד. אך בקרב הסובלים מהשמנת יתר, עולה גם השכיחות להתפתחות של כאבי ראש ובניהם גם מיגרנות.
קשר נוסף בין עודף משקל גבוה לכאבי ראש הינו התסמונת פסאודוטומור צרברי, בה ישנה עלית לחץ תוך גולגולתי עקב עודף הנוזל המוחי-שדרתי (CSF).
זוהי תסמונת נדירה יחסית (1 ל-100,000 באוכלוסייה הכללית) ושכיחותה עולה בקרב נשים צעירות בגיל הפוריות הסובלות מהשמנת יתר (3.5 ל-100,000) .רק 10% מהסובלים הם גברים.
התסמונת יכולה להופיע בכל גיל, גם בילדים (בילדים צעירים לפני גיל ההתבגרות מאפייניה מעט שונים, שכיחותה שווה בין בנים לבנות, ופחות קשורה להשמנת יתר).

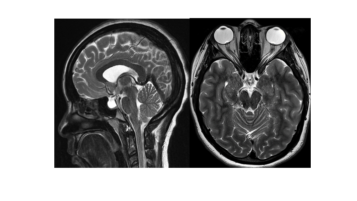
בתמונה: MRI בתסמונת פסאודוטומור צרברי
מהם גורמי הסיכון שעלולים לגרום לתסמונת הפסאודוטומור צרברי?
גורם הסיכון העיקרי להתפתחות תסמונת זו הם עודף משקל (וכל עליה משמעותית במשקל, החל מ-5%). גורמים נוספים הם: תרופות (במיוחד נגזרות של ויטמין A הניתנות לטיפול בפצעי בגרות, אנטיביוטיקה מסוג טטרציקלינים, ליתיום וכדומה), הפרעות הורמנליות (תסמונת השחלות הפוליציסטיות) ועוד.
מהם התסמינים שעשויים להעיד על התסמונת?
תסמיני המחלה נגרמים בשל יתר לחץ תוך גולגולתי
• כאבי ראש: הסימפטום הכי שכיח ומופיע בכ-90% מהחולים. יכולים להיות בכל אזור בראש, שכיחים כאבי ראש עורפיים. הכאבים ייתכנו קבועים או התקפיים ואף בעלי אופי מיגרנוטי (כאב ראש פועם חד צדדי וממושך המלווה בבחילות והקאות).
• בחילות והקאות.
• אירועי טשטוש ראייה קצרים וחולפים (מספר שניות) בעיקר בעת שינויי תנוחת ראש.
• טנטון בעל אופי פועם (PULSATILE TINNITUS).
• כפל ראייה (כפל ראייה אופקי במבט לטווח רחוק או לצדדים). כפל זה נובע מחולשה של העצב המוחי השישי האחראי על הזזת כל עין לצד שעשוי להיפגע בשל הלחץ תוך גולגולתי הגבוה).
כיצד מאבחנים את המחלה?
האבחנה הראשונית מבוצעת לרוב על ידי רופא עיניים (בעיקר על ידי נוירואופלמולוג, רופא עיניים או נוירולוג בעל תת התמחות בתחום המחלות הנוירולוגיות של העיניים והראייה). בבדיקת העיניים נצפית בצקת של עצבי הראייה (פפילאדמה).
רופא העיניים חוקר את ההיסטוריה הרפואית של המטופל, בודק את העיניים, מאתר הבצקת בעצבי הראייה ומפנה לבדיקות הדמיה מוחיות (CT או MRI). מטרת ההדמיה היא לשלול תהליך תופס מקום או מחלה אחרת הגורמת לעלית הלחץ התוך גולגולתי. בהדמיה ייתכנו ממצאים נוספים המרמזים להימצאות לחץ תוך גולגולתי גבוה. בנוסף מבוצע ניקור מותני לגילוי לחץ הפתיחה המוגבר ושלילת מחלה אחרות בעזרת בדיקת הרכב הנוזל המוחי-שדרתי (CSF).
האם המחלה עשויה לפגוע בראייה?
בחלק ניכר מהחולים המחלה יכולה לחלוף מעצמה ללא פגיעה בראייה. אך בלא מעט חולים, אם הלחץ הגבוה לא מטופל ישנו נזק לעצב הראייה המתבטא ראשית בפגיעה בשדה הראייה. ללא טיפול פגיעה זו הולכת ומתקדמת עד פגיעה קשה מאוד בשדה הראייה ועיוורון. שכיחות פגיעה משמעותית בראיה נעה בין 20% ל-25% מהחולים.
בתחילת המחלה אין פגיעה בחדות הראייה ואף הפגיעה בשדה הראייה הינה מנימאלית ,אם בכלל. ברוב המקרים מהלך המחלה והנזק לראייה הינו איטי והדרגתי (על פני חודשים ארוכים) אך ישנם מקרים בהם ישנו מהלך מחלה סוער (FULMINANT IIH) בהם יש נזק מהיר וחמור לראייה העשוי להתפתח תוך ימים ודורש טיפול חירום.
מהן דרכי הטיפול?
כאמור תהליך המעקב והטיפול יתבצע לרוב על ידי נוירואופתלמולוג ויכלול בדיקת ראייה, בדיקת תפקודי עצב הראייה (ראיית צבעים, תגובת אישונים), שדה ראייה, ומראה עצבי הראייה. תדירות המעקב תשתנה בהתאם לחומרה ומהלך המחלה.
הטיפול הראשון והחשוב ביותר בתסמונת הוא ירידה במשקל. מחקרים הראו כי כבר בירידה של
5-10% ממשקל הגוף כבר ישנו שיפור בתסמיני המחלה. הדיאטה המומלצת ביותר הינה דיאטת דלת מלח.
תרופות לטיפול בתסמונת פסאודוטומור צרברי
בחולים בהם בעת גילוי המחלה ישנה כבר פגיעה קלה בשדה הראייה מקובל להתחיל טיפול תרופתי. הטיפול המקובל ביותר הוא בתרופה אצטאזולאמיד (ACETAZOLAMIDE) , הידועה בשמות הגנריים דיאמוקס (DIAMOX) או אוראמוקס (URAMOX). חומר זה הוא מעכב האנזים (CARBONIC ANHYDRASE INHIBITOR), חומר משתן הניתן גם בטיפול בחולי גלאוקומה להורדת לחץ תוך עיני (מביא להורדה בייצור נוזל הלשכה בתוך העין), וכן מביא לירידה בייצור הנוזל התוך גולגולתי (CSF). התרופה ניתנת במינון של בין 1-4 גרם ביום (מחולקים ל- 3-4 מנות).
תרופה זו בטוחה מאוד לשימוש ותופעות הלוואי השכיחות הינן נימול בכפות ידיים ורגליים, טעם מתכי בפה. ייתכנו כאבי בטן, סחרחורות ואף כאבי ראש. תופעות לוואי מסוכנות יותר אך נדירות יותר הינן היפוקלמיה (ירידה ברמת האשלגן בדם), אבנים בכליות ותוגבה אלרגית קשה. במקרים חריפים עם נזק חמור לראייה נתין להתחיל טיפול בסטרואידים דרך הווריד. זהו טיפול מגשר עד לביצוע ניתוח. תרופות חלופיות כוללות: טופמקס (TOPAMAX), או משתן מסוג פוסיד ( FUSID).
ניתוחים לטיפול בתסמונת פסאודוטומור צרברי
במקרים בהם אין תגובה לטיפול, התסמינים (בעיקר כאבי הראש) ממשיכים או במצבים בהם מתפתח נזק מתקדם לראייה יש צורך בטיפול ניתוחי. ישנם כמה סוגי ניתוחים:
ניתוחי דלף /שאנט (SHUNT)
ניתוחים נוירוכירורגיים בהם מניחים נקז מהמוח או מעמוד השדרה המותני המנקז את הנוזל אל חלל הבטן. ניתוח זה מבוצע כאשר הלחץ התוך גולגולתי גבוה ואינו מגיב לטיפול התרופתי והתסמין המרכזי הוא כאבי ראש. הניתוח מוריד את הלחץ התוך גולגולתי ומביא לשיפור התסמינים וגם לשיפור הלחץ על עצב הראייה ועצירת הפגיעה בראייה.
אלה הם ניתוחים נוירו- כירורגיים עם מספר סיכונים הטמונים בהם, כמו זיהום, נדידת הנקז, סתימת הנקז, עוד. לעתים יש צורך ברביזיה של הניתוח (חזרה על ההליך), בעיקר בנקז מעמוד השדרה.
ניתוח על עצב הראייה- פנסטרציה של עצב הראייה (OPTIC NERVE FENESTRATION) : ניתוח בו פותחים "חלון" בקרומי עצב הראייה (בארובת העין), מעין פתח שנועד לשחרר לחץ מעצב הראייה. ניתוח זה מבוצע כאשר יש נזק מתקדם לעצב הראייה למרות טיפול תרופתי ואילו שאר התסמינים כמו כאבי הראש פחות בולטים והוא יכול להיות מבוצע בצד אחד בלבד או בשני הצדדים. ניתוח זה הינו בטוח יחסית והסכנה לפגיעה בראייה נמוכה מאוד.
הנחת תומכן (STENT) על הסינוס הוורידי מוחי הרחבי (TRANSVERSE SINUS )
ישנם מקרים רבים בהם נראית היצרות של הסינוס הוורידי במוח. הרחבה והנחת תומכן גורמת לירידה בלחץ התוך גולגולתי. הטפול עדיין מבוצע במקרים בודדים ומתאימים והסיכונים (שאינם שכיחים) כוללים קרע בווריד , דימום תוך מוחי, סתימת תומכן, (קריש דם), היצרות לפני התומכן.
מה לגבי ניתוח בריאטרי ?
כאמור, ירידה במשקל היא מרכיב מרכזי בטיפול בתסמונת ואף מומלץ לבצעה באופן טבעי ומבוקר תוך הקפדה על דיאטה מאוזנת ודלת מלח. אך פעמים רבות בקרב מטופלים הסובלים מעודף משקל ניכר ומתקשים לרדת במשקל, יש צורך בניתוח בריאטרי (ניתוח במערכת העיכול המבוצע בשל השמנת יתר).
הניתוח הבריאטרי אינו מתאפשר לכל אחד הסובל מעודף משקל וקיימים פרמטרים המתבססים על מדד ה- BMI וגורמי סיכון או מחלות נלוות שנועדו לקבוע האם המטופל עשוי להיות מועמד לניתוח. ישנם מספר סוגי ניתוחים: ניתוחים בהם מורידים את נפח הקיבה (כמו שרוול או טבעת) ובכך מורידים את כמות המזון הנצרכת או ניתוחים המשרים תת ספיגה של מזון ובהם מבוצע מעקף קיבה או תריסריון.
מהם הסיכונים לראייה בניתוחים בריאטריים ?
ישנם מספר סיבוכים לניתוחים בריאטריים ונתרכז בסיכונים הקשורים למערכת הראייה: הסיכון העיקרי נובע מתת ספיגה של מינרלים וויטמינים חשובים ותת תזונה. סיבוך זה שכיח יותר בניתוחים המבוססים על מעקף של הקיבה או התריסיריון ומביאים לתת ספיגה אך הוא עשוי להתרחש גם לאחר הניתוחים האחרים.
בנוסף, עלולים להתפתח חסרים שונים ובהם חסר ויטמין A, ויטמין B1 ( תיאמין), ויטמין B12, ויטמין D, חומצה פולית, נחושת, אבץ ועוד. חסרים אלו מתפתחים לאט על פני שבועות עד חודשים ואף על פני שנים (חסר ויטמין B12 מתפתח רק אחרי כשנה וחסר נחושת אף לאחר שלוש שנים) ולכן חשובה ההקפדה על תזונה מבוקרת ומעקב רפואי מתמיד.
הפגיעה בעיניים ובראייה עשויה להתרחש בכמה מוקדים:
• יובש קשה ופגיעה בקרנית העין, פגיעה ברשתית המביאה לעיוורון לילה ופגיעה בעצב הראייה.
• פגיעה תזונתית בעצב הראייה: עקב החסרים התזונתיים המשולבים ישנה פגיעה הדרגתית הולכת ומתקדמת בעצב הראייה המביאה לירידה בחדות הראייה (ללא טיפול תיתכן פגיעה קשה מאוד ולעתים בלתי הפיכה בראייה), פגיעה מרכזית בשדה הראיה, ירידה בראיית צבעים. בבדיקת עצב הראייה- העצב עשוי להראות תקין בתחילה ובהמשך יהיה חיוורון של עצב הראייה.
• חסר ויטמין B1 (תיאמין): עשוי להביא לפגיעה נוירולוגית קשה (WERNICKE ENCEPHALOPATHY ) המתבטאת בבלבול, חוסר יציבות בהליכה (ATAXIA ) וניסטגמוס (תנועות מהירות של העיניים). יתכנו סחרחורות, כפל ראייה ופגיעה עצבית תחושתית בגוף.
פסאודוטומור צרברי בהריון
תסמונת זו שכיחה בנשים בגיל הפוריות ולכן עשויה להופיע בהריון. אין סיכון מוגבר לפתח את התסמונת בזמן ההריון או לפגיעה בראייה בשל ההריון. כמו כן, אין כל סיכון לעובר בשל התסמונת עצמה. אופי ומהלך הלידה אינו מושפע מהתסמונת וסוג הלידה (וגינלית, ניתוח קיסרי וכדומה) יוחלט ע"י הגינקולוג בהתאם להתוויות גינקולוגיות ולא בגלל התסמונת עצמה. אין מידע מחקרי מספק לגבי בטיחות הטיפול בכדורי דיאמוקס לעובר, אך נראה שטיפול זה יחסית בטוח, בטח לאחר שבוע 20 להריון. טיפול בטופמקס אינו מקובל בזמן הריון.
אבחנה מוקדמת של פגיעה בעצב הראייה בשל חסר תזונתי תביא לטיפול מהיר יותר וכתוצאה מכך גם לצמצום הנזק שעלול להיגרם כתוצאה ממנה. התסמינים שפורטו מחייבים בדיקה על ידי נוירואופתלמולוג (רופא עיניים או נוירולוג בעל תת התמחות בתחום המחלות הנוירולוגיות של העיניים והראייה) לצורך קבלת אבחון מקיף ומדויק.
האם המאמר עניין אותך?













תשובת מומחה 




